症例 | リーフ総合歯科・クローバー歯科
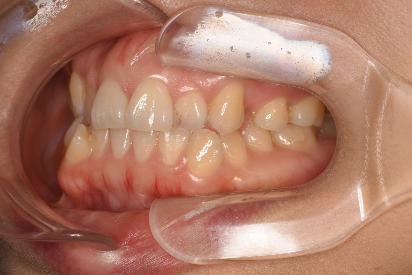
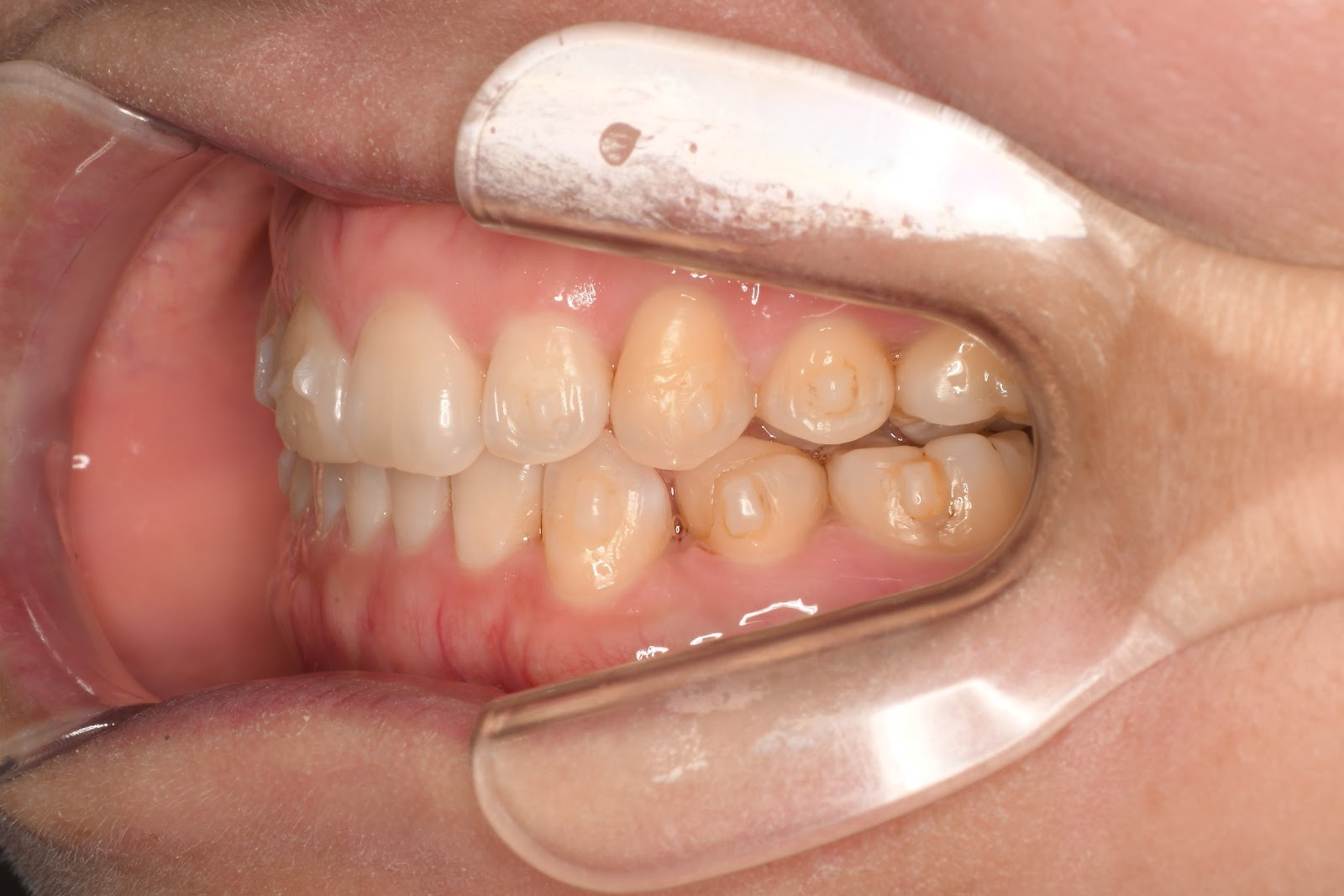
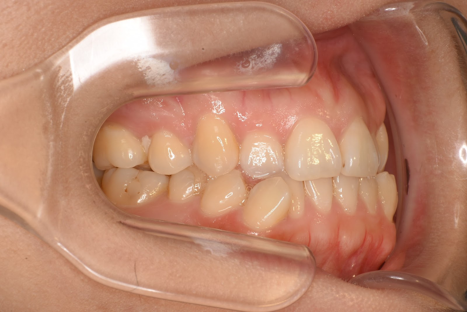
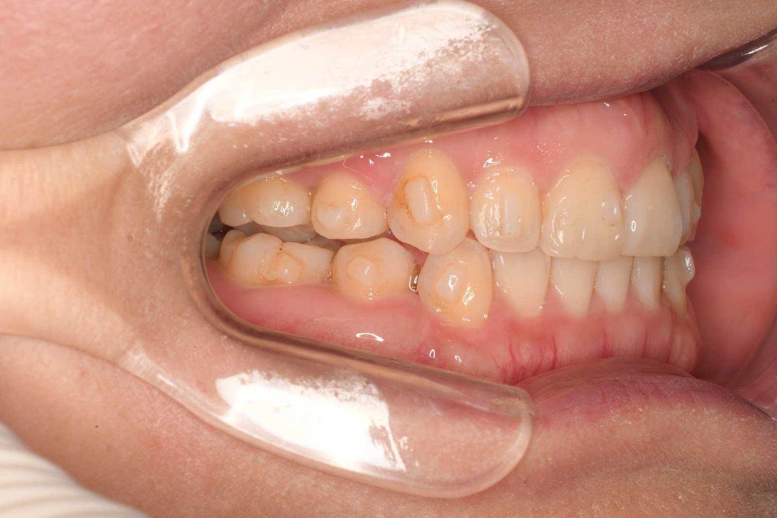
便宜抜歯した後で、上と下の歯の本数が違い、バランスがよくない。マウスピース矯正にて治療

Before

After

Before

After
INFORMATION
お電話でのご予約・お問い合わせはこちら
0572-57-6533〒509-5202 岐阜県土岐市下石町304−115
| 診療時間 | 月 | 火 | 水 | 木 | 金 | 土 | 日 |
|---|---|---|---|---|---|---|---|
| 8:30 - 12:30 | 〇 | 〇 | - | 〇 | 〇 | 〇 | - |
| 14:00 - 17:30 | 〇 | 〇 | - | 〇 | 〇 | 〇 | - |
| 休診日:水曜・日曜・祝日 ※最終受付:17:00 | |||||||
お電話でのご予約・お問い合わせはこちら
0572-53-2011〒509-5112 岐阜県土岐市肥田浅野笠神町2-11-1
中央道 土岐インターより5分
| 診療時間 | 月 | 火 | 水 | 木 | 金 | 土 | 日 |
|---|---|---|---|---|---|---|---|
| 8:30 - 12:30 | 〇 | 〇 | - | 〇 | 〇 | 〇 | - |
| 14:00 - 17:30 | 〇 | 〇 | - | 〇 | 〇 | 〇 | - |
| 休診日:水曜・日曜・祝日 | |||||||
エラー: ID 1 のフィードが見つかりません。
アカウントを接続するには、Instagram Feed の設定ページに移動してください。